目次 [ 非表示 ]
- 1 症例写真
- 2 症例動画
- 3 当院のクマ治療の種類
- 4 目の下の脂肪取り(経結膜脱脂法)とは
- 5 裏ハムラ(経結膜的眼窩脂肪移動術)とは
- 6 愛知県トップクラスの症例数を誇る 痛くない・腫れづらいクマ取り治療とは
- 7 こうしたお悩みのある方におすすめ
- 8 症例モデル募集中
- 9 切らないクマ・たるみ・シワ取り治療の効果・メリット
- 10 目元のクマ・たるみ(ふくらみ)の原因
- 11 クマの種類と改善方法
- 12 ドクターズコメント
- 13 当院のクマ取り治療の特徴
- 14 当院のクマ取り治療で使用する器具のご説明
- 15 料金表
- 16 施術当日の流れ
- 17 ダウンタイムと術後の経過について
- 18 よくある質問
幅広いお施術のご提案が可能
現在、多くのクリニックでクマ取り治療が行われていますが、大手クリニック、個人クリニックも基本的に1つのやり方での治療を勧めることが多いです。
経結膜脱脂法を勧めるクリニック様は技術的な問題でそのやり方をすべての患者様に勧めることがほとんどです。
また、
裏ハムラ法を勧めるクリニック様も経結膜脱脂法より高額になるためそのやり方をほとんどすべての方に勧めているのが実情かと思います。
クオリティーに対して安価な料金設定
当院では
患者様1人1人のお目元の状態やご予算に応じて適切な治療をご案内できるのが特徴です。
お目元の状態が裏ハムラ法の方が適応にも関わらず、経結膜脱脂法でお施術をしてしまい
当院で修正治療を行っている患者様は大変多いので、是非、当院の無料カウンセリングで適応を見ていただくのがよいかと思います。
他院様のお見積りをご持参いただけますと、できる限りご配慮いたしますので是非、当院でもカウンセリングをお受けいただけますと幸いです。
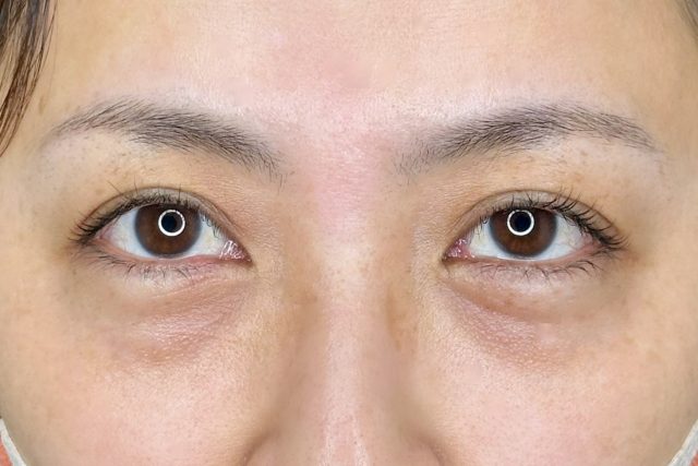
症例写真
80代 女性
70代 女性
60代 女性
60代 女性
50代 女性
40代 女性
40代 女性
40代 女性
40代 女性
30代 女性
30代 女性
30代 男性
30代 男性
20代 女性
20代 女性
20代 女性
20代 女性
20代 女性
症例動画
当院のクマ治療の種類
目の下の脂肪取り(経結膜脱脂法)とは
下まぶたの裏側を小さく切開し、クマやたるみの原因となる眼窩脂肪を取り除きます。
まぶたの裏側からアプローチするためお顔の表面に傷が残らず、ほかのクマ取り治療と比べて施術時間やダウンタイムが少ないのがメリットです。周りにも気付かれにくく、まとまったお休みが取りづらい方でも受けていただきやすい治療となっています。
特に当院では圧倒的な症例数より得られた経験と高価な止血装置等により、両目の治療合わせて15分ほどとあっという間に施術を終えることができますので、お痛みや腫れ、ダウンタイムを最小限に抑えることが可能となっています。
(1)
加齢や遺伝などに伴い眼球が重力の影響で落ち込み、押されるように眼窩脂肪が前方に突出します。その結果、目の下にふくらみが生じます。
(2)
ふくらみを除去するため結膜側に小切開(1cmほど)を加え、脂肪をつまみ出します。
まぶたの裏側から切開するので、お顔の表面には傷ができません。
(3)
余分な脂肪を切除することで目の下のふくらみを改善いたします。
凹凸が解消されて影が目立ちにくくなり、目元がすっきり明るい印象に整います。
裏ハムラ(経結膜的眼窩脂肪移動術)とは
裏ハムラ法は目の下のふくらみである眼窩脂肪を、ふくらみの下の凹んでいる部分へ移動することで、下まぶたの凹凸を改善する方法です。
まぶたの裏側にある結膜を切開し眼窩脂肪にアプローチするので「裏」ハムラ法と呼ばれています。表側の皮膚には経結膜脱脂法同様に傷は残りません。
お目元の状態によっては、経結膜脱脂法で脱脂してしまうと将来的に凹みが気になるケースがございます。
そのような方は裏ハムラ法でお施術を行うことで凹み感が無い完成を目指すことが可能です。
また、脂肪注入やヒアルロン酸注入と違い定着しないということはないのでお目元の状態がキープされる可能性が高いこともメリットです。
(1)
加齢や遺伝などに伴い眼球が重力の影響で落ち込み、押されるように眼窩脂肪が前方に突出します。その結果、目の下にふくらみが生じます。
(2)
下まぶたの裏側(経結膜側)を切開し、眼窩脂肪を移動させて骨膜に固定いたします。脂肪を移動させることでくぼみ・膨らみを同時に改善いたします。
(3)
眼窩脂肪を凹み部に量、方向を調整して移動させます。
(4)
傷口を縫って終了となります。皮膚表面には傷が無く治療が完了いたします。
愛知県トップクラスの症例数を誇る
痛くない・腫れづらいクマ取り治療とは
P O I N T 01 低価格で高クオリティーの施術
昨今、クマ取り治療は複雑化し様々な治療方法があります。
複雑な治療になるほど高額化しており、大手美容外科様でも50-100万ほどとかなり高額なご料金を提示している現状があります。
そのような高額な治療をしなくても当院であれば自然で綺麗な完成となる患者様は多くいらっしゃいます。
一宮美容クリニックでは低価格で高クオリティーのお施術を目指しております。
P O I N T 02 一人一人に合わせた施術のご提案
当院では、経結膜脱脂法に加えて、裏ハムラ法、表ハムラ法など複数のお施術方法が可能となっております。
患者様のお目元に合ったより良い方法をご案内させていただきます。
できれば単一のお施術のみで行っているクリニック様だけではなく様々な治療方法をご案内している当院に一度カウンセリングをお受けいただけますとより深いご説明ができるかと思います。
P O I N T 03 ダウンタイムを抑えてご負担を軽減
具体的には
脂肪注入を行わずに、ダウンタイムを極力抑え、気になる目の下のふくらみやたるみ、シワを改善する治療を目指しています。
脂肪注入とセットでご提案されているクリニックも多いですが、脂肪注入の必要がそこまでない方にもすすめているケースがあります。どうしても脂肪注入を行うと脂肪を取る部位とクマの部位のダウンタイムが長くなってしまいます。
また、脂肪注入はしこりになるリスク、定着率が読めないため多めに入れられる傾向にあります。
当院では、患者様のご負担が少なくなるようにダウンタイムの短くなるご提案を第一にさせていただいております。
こうしたお悩みのある方におすすめ
目元のふくらみが気になる
涙袋がはっきりしない
目元の青・茶クマが気になる
皮膚に傷をつくりたくない方
「疲れ顔」といわれてしまう
目元のハリがほしい
寝不足に見られる
表情が暗く見える
症例モデル募集中
HPより24時間即時可能なWEB予約が便利です。
備考欄に症例モデル希望とご記載の上ご予約ください。
切らないクマ・たるみ・シワ取り治療の効果・メリット
1.明るく若々しい目元に
加齢とともに目の周りの筋肉が衰えると、皮膚がたるんで目の下にふくらみが生じます。クマ取り治療では、老けて見えがちな目の下のたるみやふくらみを除去し、明るく若々しい目元を叶えます。
2.お肌に傷が残らない
麻酔をした上で施術を行うので、痛みはほとんどありません。施術時間も10~20分程度の短時間で済み、通院の必要もないためお仕事を休まなくても治療できます。
3.お痛みやダウンタイムが少ない
麻酔をした上で施術を行うのでお、痛みはほとんどありません。施術時間も10~20分程度の短時間で済み、腫れも最小限、通院の必要もないためお仕事を休まなくても治療できます。
4.シワやたるみの予防
目元の余分な脂肪を取り除くことで、将来的なたるみやクマを予防します。早めの治療ですっきりとした明るい目元を保ちます。
目元のクマ・たるみ(ふくらみ)の原因
|
目元のクマやたるみ(ふくらみ)の原因の多くは、加齢に伴う筋肉の衰えによるものです。
お肌の弾力やハリが低下し、目の下にある眼窩脂肪と呼ばれる脂肪が前に押し出されることで、目元のたるみを引き起こします。
筋力の衰えのほかにも、ここ数年ではスマホの長時間使用などによる眼精疲労や、睡眠不足・ストレスによる血行不良などもクマやたるみの原因となります。
クマの種類と改善方法
目の下のクマは、色味の特徴から黒、赤、青、茶の4種類に分かれ、それぞれ原因や治療法が異なります。
黒クマ
目の下が黒く影のように見えるクマのことを黒クマ(影クマ)といいます。
加齢によるたるみや眼窩脂肪の突出により、目元にふくらみができることで影が濃く見える状態になっています。セルフケアは難しく、もともとのお顔の特徴によりクマができやすい場合もあります。
当院の「切らないクマ・たるみ取り」は、この黒クマに適した治療となっています。
赤クマ
目の下が赤くふくらんだような状態を赤クマといいます。 赤クマは、眼輪筋の圧迫や疲労による毛細血管の拡張などで目の下が赤く見えるものです。 黒クマと同じく、眼窩脂肪を除去する「切らないクマ・たるみ取り」の治療が適しています。 放っておくとほかのクマの症状へと進行して解消が難しくなってしまうため、早めの治療をおすすめします。
青クマ
目の下が青や紫がかって見える状態を青クマといいます。 青クマは、目元の血行不良により引き起こされる症状です。スマホやパソコンを長時間見続けるなど、日常的に目を酷使する人は青クマになりやすいので要注意です。 温かいタオルなどで目元を温めることで改善しますが、繰り返し青クマができる場合は「
ルメッカ(光治療)」や「
IBC式ヒアルロン酸注入」なども効果が期待できます。
茶クマ
目の下が茶色くくすんだような状態を茶クマといいます。 茶クマは、紫外線や目元をこすったときの刺激などによる色素沈着が原因のクマです。 ほかのクマと違い、メラニンを生成しないようにケアをすることで改善や予防が期待できます。 当院では、茶クマの改善にも適した「 IBC式オーダーメイドしみ治療」をご提案しています。
COMMENT ドクターズコメント
一宮美容クリニックの院長の坂東です。
一宮美容クリニックでは、2023年度の症例数は約1,000例と愛知県の中でも圧倒的な症例数を誇っています。クマ取り治療に豊富な経験を持つ院長により、一人ひとりに合ったクマ取りの治療を行います。
クマができる原因の多くは、加齢に伴う眼窩脂肪の突出です。これは20代の方にも起こり得ます。飛び出た眼窩脂肪を取ってしまうのが「クマ取り」治療なのですが、この治療はなかなか奥が深いものです。
というのは、 眼窩脂肪の飛び出しの程度や、皮膚のたるみ、中顔面(目元から口までの範囲)のボリュームの減少の程度、靭帯の引き込みの程度、色味などが一人ひとりのお顔の状態がかなり異なるためです。
最近、クマ取りの眼窩脂肪の取りすぎが問題になっています。取りすぎてしまうと余った皮膚がシワシワになってしまったり、何年か経った時に目の位置が変わってしまったりする可能性があります。 そのため、
一人ひとりに合った脂肪の量をどこからどれぐらい取るのか?のなどの見極めが大事になってきます。
その見極めは、「クマ取り」の経験数やセンスによって作られるものだと考えています。
また、当院では他院様の修正も多数行っておりますが、取り残し例もかなり散見されます。特に、外側部の脂肪は取ることがやや難しく、専門とうたっているクリニック様などの取り残し症例もあります。当院ですと術後のフォローアップ、必要に応じた再施術も無料で行っておりますので是非、ご検討いただけますと幸いです。
当院はカウンセリング無料、施術料金も広告費を限りなく抑えることで、通っていただきやすい価格設定にてご案内しています。モニター割引もございます。
他院様でご検討されている患者様も他院様のお見積りとともに無料カウンセリングをお受けいただけますと幸いです。
当クリニックと他のクリニックの違い
| 大手美容外科のクマ取り治療 | 一宮美容クリニックのクマ取り治療 |
|---|---|
|
|
クマ取りの治療では、脂肪注入の必要がない方や脂肪注入を希望しない方にも脂肪注入を勧めるケースがありますが、
クマ取りの治療において脂肪注入は原則不要です。
脂肪注入を追加すると、不必要なダウンタイムが生じる可能性があります。
当院では、
脂肪注入を行わずダウンタイムの少ないクマ取り治療を目指しています。
脂肪注入を行わないことで手術時間も短くなり、お体へのご負担も軽減されます。
大手美容外科など複数の医師が在籍するクリニックでは、経験の浅いドクターが施術することも多く、希望通りの治療が受けられない場合もあります。
また、入職間もないドクターが安全に行えるように、クマ取り治療の中でもやや出血の多い方法で施術が行われる傾向があります。
一宮美容クリニックのクマ取り治療は、顔の解剖学を熟知した院長が施術を行っています。
安全性を考慮した院長オリジナルの手術方法と、性能にこだわった止血器具等により、ダウンタイムを極力抑えた施術を目指しています。
当院のクマ取り治療の特徴
P O I N T 01 一人ひとりに合わせた治療
患者様のお悩みやご希望をしっかりとヒアリングした上で、クマやたるみの状態に合わせた治療プランをご提案します。
お顔の解剖学を熟知した医師が脂肪を取る場所や量を見極め、一人ひとりに合わせたクマ取りの施術を実施します。
P O I N T 02 短時間でできる
クマ取り(脱脂術)の施術にかかる時間は15分程度です。
当院では、不要な脂肪注入は行っていません。そのぶん施術時間を短縮でき、体への負担も軽減されます。
入院や通院の必要もないため、忙しくて時間が取りにくい方でも治療を受けていただけます。
P O I N T 03 ダウンタイムが少ない
当院のクマ取り施術は、複数の手術方法を組み合わせて改良を行った院長オリジナルの手術法を採り入れています。
さらに、出血しづらい医療機器を用いることで、極力内出血を抑える工夫を行っています。
不必要に脂肪注入を行わないことで、ダウンタイムも少なくなります。
P O I N T 04 痛みを徹底的に抑える
当院では、施術時の麻酔にこだわって徹底的に痛みを抑える工夫をしています。
クマ取り施術では局所麻酔を使用して施術を行います。性能にこだわった止血器具を使用し、出血も少なく抑えてダウンタイムを軽減します。
当院のクマ取り治療で使用する器具のご説明
当院では、術後のダウンタイムが少なくなるように、大手美容外科では取り扱いがないもしくはミニマムダウンタイムオプションなどの高価なオプションに設定されているRF(電波)メスをすべての患者様に対して用いて治療を行っています。
RFナイフは、4.0MHzのラジオ波(RF=Radio Frequency)を発振し、組織に対する高密度なエネルギーの集中性を実現して熱損傷を抑え、微細な切開と焦げの少ない凝固を可能にします。
RFナイフと一般的な電気メスとの違い
RFナイフの一般的名称は一般的電気手術器です。
いわゆる電気メスに分類されますが、RFナイフは非常に特徴的な器械となっています。
特徴① 4.0MHzの周波数
|
RFナイフを含めた電気手術装置は、電圧や電流、出力波形を制御する事でさまざまな効果を発揮します。 しかし、使用される周波数に関しては、一般的な電気メスが400kHz(0.4MHz)前後を用いるのに対して、RFナイフは電波特性の強い4.0MHzという高い周波数を用いています。 |
特徴② 侵襲範囲の小さな電気メス
|
交流電流は導体を流れる際、周波数が高くなるほど電気の深達度は浅くなり、電流の流れる組織体積が小さくなることで電流密度が高くなります(表皮効果)(図1)。 使用する電極や出力に左右されない本現象を利用したRFナイフは、常に組織への深達度を一定に保つことが可能となり(図2)、微細な切開・凝固が行える“侵襲の小さな電気メス”と言えます。 |
特徴③ 組織炭化の少なさ(SSI予防)
|
「メス先と組織の接触状態」や「対極板の設置状態」は電気メスの効果を大きく左右します。 これらは多くの場合、機器の出力設定の増減で対応されますが、それは同時に周辺組織への熱害と不必要な組織炭化を助長します。 しかし、電流密度の高いRFナイフはメス先や対極板の設置状態の影響を受けにくく、より少ない出力で狭い範囲に熱を集中させる事ができ、過度な電圧設定によるスパークの発生を抑えることで手術部位感染(SSI)の原因とされる組織炭化を最小限に留めることが可能です。 |
クマ取りとおすすめの組み合わせ
| IBC式ヒアルロン酸注入 | 目元のシワや凹凸が気になる箇所に直接ヒアルロン酸を注入し、改善へと導く治療法です。クマ取りの治療後に、改めて涙袋をお好みの形に整えることもできます。 |
|---|---|
| 二重埋没法 | 医療用の糸を用いた切らない二重術です。
クマ取りと組み合わせることで、目元をより若々しい印象に整えます。 |
PRICE 料金表
【8月末までのモニターキャンペーン実施中】
|
切らないクマ取り
スタンダード |
¥83,600 |
|---|---|
|
切らないクマ取り
ナチュラル |
¥193,800 |
|
切らないクマ取り
パーフェクト |
通常価格 ¥348,000
部分モニター ¥219,800 全顔モニター ¥180,800 |
| 裏ハムラ |
通常価格 ¥448,000
部分モニター ¥269,800 全顔モニター ¥198,000 |
| 皮膚切除法 |
通常価格 ¥498,000
部分モニター ¥318,000 全顔モニター ¥238,000 |
| 成長因子 | ¥38,800 |
| ブロック麻酔 | ¥50,000 |
| 笑気麻酔 | ¥3,500 |
FLOW 施術当日の流れ
施術前のご準備
特別にご準備いただくものはございません。美容室に行くような、気軽な気持ちでご来院ください。
院長とのカウンセリング
施術前に、院長によるカウンセリングを行います。目の下のたるみやクマの状態を診察し、お悩みを丁寧にヒアリングしながら患者様に合った施術プランをご提案します。リスクやダウンタイムの注意事項などもカウンセリングにてお伝えいたします。
費用についてのご説明
カウンセリングで施術プランが決定しましたら、スタッフより最終的なお見積もりをご提示します。お会計が終わりましたら施術になります。
麻酔の実施
脂肪を取る位置のマーキングをした後、お顔を消毒し、局所麻酔を行います。 メイクされてご来院の方は、このタイミングで落としていただきます。クレンジングや洗顔料はご用意しておりますので、お帰りの際に必要なメイク道具をご用意ください。
治療の実施
結膜側を小さく切開し、マーキングに沿って脂肪を取り除きます。 施術にかかる時間はおよそ20分ほどです。
施術後・アフターケア
施術が終わりましたら、そのままご帰宅いただけます。
施術当日からメイクは可能ですが、アイメイクは翌日以降にしてください。
コンタクトレンズは施術1週間後から装着できます。
ダウンタイムと術後の経過について
クマ取りのダウンタイム中には、次のような症状が現れることがあります。
■目の下の腫れ
ダウンタイム中の症状でいちばん多いのは、目の下の腫れです。
腫れは術後2日ぐらいをピークに1週間ほどで治まっていきます。
長時間の入浴や激しい運動などは、腫れを悪化させてしまうリスクがあるので注意してください。
■内出血
1割程度の方に目立つ内出血が出ることがありますが、およそ2週間ほどで目立たなくなります。
■目の痛み
目の下の軽い痛みや、ゴロゴロとした違和感が続くことがあります。
痛みや違和感は数日~1週間程度で治まりますが、痛みが気になる方は当院で処方する痛み止めのお薬を服用してください。
■涙に血が混じる
術後数日の間は、涙に血が混じることがあります。
3日ほどで治まっていきますので、清潔なガーゼやティッシュで軽くふき取るようにして、目をこすらないように気を付けてください。
リスクと副作用
切らないクマ・たるみ・シワ取り治療は、下まぶたの裏側に小さな穴をあけ、そこから脂肪を取り出す治療法です。大きく切開する手術に比べて出血が少なく、ダウンタイムも短い施術となっています。腫れや痛みには個人差がありますが、ほとんどは1週間程度で治まります。
目元に左右差のある方は、クマ取りの施術によって差が目立ちやすくなる場合があります。利き目や表情で左右のバランスが非対象になるなど、普段から左右差が気になっている方はカウンセリング時にご相談ください。
| 詳細情報 | |
| 施術時間 | 20分程度 |
| 施術後の通院 | 必要ありません。 |
| ダウンタイム | 数日~1週間程度 ※個人差あり |
| 術後の腫れや痛みなど | 腫れや内出血が出ることがありますが、腫れは通常2日~1週間程度、内出血は1週間~2週間ほどで治まります。
術後の数日間は目の中がゴロゴロするような違和感が続く場合があります。 |
| 麻酔 | 施術箇所に局所麻酔を行います。
※痛みが不安な方は、笑気麻酔など各種麻酔もご用意しています。 |
| メイク/洗顔 | 目元を避ければ当日より可能です。
アイメイクは翌日から可能ですが、化粧品が目に入らないように注意してください。 |
| 洗髪/シャワー/入浴 | シャワーは当日より可能です。
目元を濡らさないように注意してください。 入浴は翌日からできますが、腫れの原因となるため長時間の入浴は避けてください。 |
| その他注意事項 | 術後1週間はコンタクトレンズの装着は控えてください。 |
FAQ よくある質問
施術後は何時間後からメイクできますか?
皮膚側に傷はできませんので施術直後からメイクをしていただけます。
化粧品が目に入らないよう、アイメイクは翌日以降にしてください。
痛み軽減の工夫はありますか?
痛みの軽減のために、必要に応じて痛み止めの点滴、麻酔のオプションをご利用いただけます。手術も比較的短時間で終わります。
ダウンタイムはありますか?
個人差によりますが、施術後には腫れや内出血が起こる場合があります。術後数日をピークに1~2週間ほどで症状は治まっていきます。
カウンセリング当日に施術することは可能ですか?
はい、カウンセリング後の施術が可能です。
当日の注意事項等の詳細につきましては「
初めての方へ」ページ内の
ご来院時のご注意をご覧ください。
入院や通院は必要ですか?
いいえ、必要ありません。
切らないクマ・たるみ・シワ取り治療は日帰りで行います。
脂肪除去後の縫合を行わないため、抜糸のために通院する必要もなく、施術当日から通常通りの生活ができます。
傷跡は残りますか?
施術は下まぶたの裏側から行うため、肌表面に傷は残りません。
腫れもほぼなく、数日の間少しむくんだような感じがする場合がありますが、1週間程度で落ち着きます。
クマ取りの治療はどのぐらいの年齢で受けるのが良いですか?
生まれつき眼窩脂肪が多い方や、スマホの長時間使用などにより、若い方でも目の下のたるみが気になる方が増えています。
クマが気になったら、早めに治療を受けていただくことをおすすめします。
目の下のクマは何かの病気と関係ありますか?
クマと直接関係のある病気はほとんどありません。しかし、慢性的な疲れや寝不足、貧血、肝機能の低下などの体調不良が原因のクマもあります。不安な場合は医師にご相談ください。
マッサージで目の下のたるみは改善されますか?
たるみの原因によってマッサージで改善されない場合があります。眼精疲労や血行不良が原因であれば効果はありますが、加齢によって脂肪が押し出されたことが原因の場合は効果がありません。
以前、目の下にヒアルロン酸を注入したことがあります。ヒアルロン酸が分解されるまで施術を受けるはできませんか?
できるだけヒアルロン酸が分解されてからの施術がよいです。分解されていなくても施術はできますが、注入した時期や量が多いと施術の効果がうまく出ない可能性があります。高い効果を得るためにも、ヒアルロン酸を注入した時期や量を事前に医師にお伝えください。
この記事の監修
|
Profile
一宮美容クリニック 院長
香川大学医学部卒業
|